Desde nuestra clínica de odontología en Valencia acostumbramos a tratar todo tipo de cuestiones relacionadas con la implantología dental: desde injertos óseos al uso de los implantes sin hueso, las extracciones quirúrgicas o la cirugía periapical. En esta ocasión veremos cómo influye la mordida en tijera en este ámbito, ya que es una anomalía que puede afectar al tipo de tratamiento que necesita el paciente.
Índice
¿Cómo puedo saber si tengo una mordida en tijera?
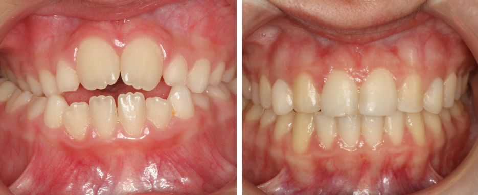
La mordida en tijera se origina cuando los dientes y la mandíbula no se desarrollan de una forma adecuada. Es una situación que implica a ambas arcadas, ya que en el plano transversal, estas no encajan de una manera correcta. Por norma general, es el maxilar el que sobresale y termina cubriendo casi por completo la mandíbula. Es decir, que al no haber contacto entre una y otra arcada, la mordida del paciente no es 100 % eficiente durante el proceso de la masticación.
Si bien el tamaño del maxilar ya es un síntoma significativo con el que deducir que se padece esta anomalía, existen asimismo otras señales que pueden indicarla. Por ejemplo:
- No se puede masticar de una forma adecuada, ya que no hay un contacto directo entre los molares superiores e inferiores.
- Existen chasquidos o incluso dolor a la hora de masticar. Si las arcadas no encajan bien cuando se cierra la mandíbula, la articulación temporomandibular sufre un exceso de presión derivado de la desviación o la falta de dimensión vertical de los maxilares.
- Los molares de la arcada superior están significativamente hacia fuera o hacia dentro.
Para los especialistas, la mordida en tijera se diferencia según dónde se encuentre el problema. La hay de dos tipos:
- Mordida en tijera anterior: es una maloclusión ocasionada por la cara frontal de los dientes premolares.
- Mordida en tijera posterior: la afección radica en las piezas dentales posteriores los molares y es la más frecuente.
Por otro lado, son varios los factores que pueden fomentar la aparición de esta mordida:
- Traumatismos y fracturas mandibulares.
- Hábitos desarrollados durante la infancia, como chuparse el dedo.
- Factores hereditarios.
- Dientes que emergen inmaculadamente por falta de espacio.Ausencia de piezas dentales.
Es una de las maloclusiones que más problemas funcionales y estéticos causa al paciente, por lo que hay que abordarla cuanto antes. Lo más aconsejable es atenderla en la infancia, si bien puede tratarse de forma eficaz también durante la edad adulta.
¿Cómo solucionar mordida en tijera? Tratamiento
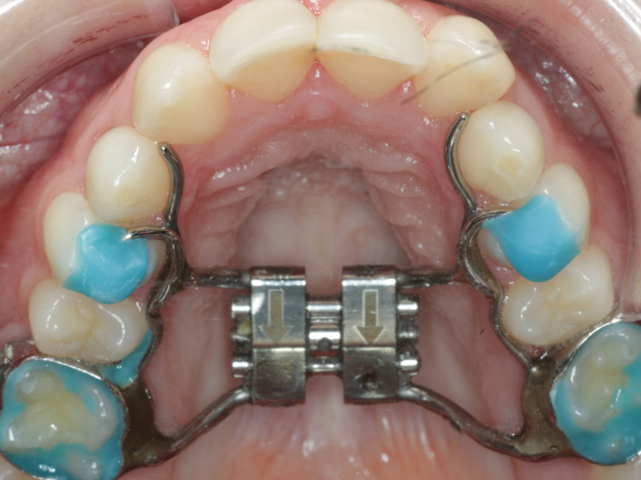
Aunque pueda parecer una situación difícil de resolver, existen alternativas que reportan muy buenos resultados. Para poder corregir la mordida en tijera hay dos soluciones principales: el uso de una ortodoncia o la cirugía ortognática.
La ortodoncia es el método más empleado para abordar esta problemática. Lo ideal sería utilizarla en edades tempranas, esto dependerá de la fase de crecimiento del paciente. En ese momento vital hay más posibilidades de guiar correctamente el crecimiento de los dientes. También es más fácil moldear los huesos dentales, su tamaño y posición. El ortodoncista, haciendo uso de la ortodoncia interceptiva, puede mover la estructura ósea para que esta tenga un desarrollo adecuado.
Por su parte, la cirugía ortognática se utiliza en personas de edad adulta. Se trata de una solución más compleja, puesto que aborda una estructura ósea ya conformada por completo. Es decir, que el especialista debe trabajar con unos huesos dentales inamovibles. La intervención quirúrgica se realiza de forma directa sobre el maxilar. La idea es que el cirujano recupere la armonía perdida en las arcadas.
Aunque se han visto de forma separada, lo más recomendable es aunar ambas soluciones. Por norma general en pacientes adultos, la operación ortognática va acompañada de un tratamiento posterior de ortodoncia. Suele mantenerse durante dos años, aunque esto dependerá de las características concretas del paciente.
Si este tipo de mordida no se soluciona lo antes posible, suelen aparecer problemas derivados más complejos: complicaciones gingivales, digestivos y funcionales, desgaste y pérdida de las piezas dentales, molestias, dolor, bruxismo, dificultades a la hora de pronunciar determinadas palabras, una masticación deficiente…
Si te ha parecido interesante, quizás te interese leer sobre:

