Es un método de preparación dental para puentes o coronas. En el proceso de tallado del diente se realiza también un pulido de la encía lo que nos permite la cicatrización guiada de la misma, adaptándose al provisional que se fabrica y se pule de manera individual y atendiendo a las necesidades del paciente.
Índice
¿Cuál es el procedimiento?
El método de preparación del diente se realiza en una sesión, en la cual ya saldrá con unos provisionales adaptados. La higiene en casa es extremadamente importante, para conseguir la salud de las encías.
Se revisará al paciente durante un mes o mes y medio donde podremos ir modificando la forma de ese provisional para ir guiando a la encía. Una vez esté todo estable realizaremos las coronas o puentes definitivos con el material adecuado en cada caso.
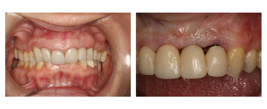
Técnica BOPT antes

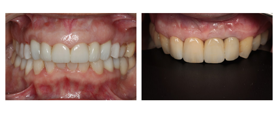
Técnica BOPT después

¿Qué ventajas tiene?
- Permite obtener una mejor fijación de la prótesis en la boca por la formación del tejido gingival nuevo.
- Estabilización de la encía a largo plazo.
- Pretende imitar a la naturaleza dental generando un aspecto mucho mas natural.
- Se reduce la inflamación alrededor de los dientes afectados.
- Se reduce considerablemente las retracciones gingivales posteriores y los desajustes con las coronas.
En clínica dental IDIM estamos especializados en esta técnica y apostamos por este procedimiento con garantía de éxito y correcto funcionamiento a largo plazo.