Desde nuestra clínica dental en Valencia centro queremos hablarte de qué son las troneras en los dientes. Un problema que afecta a una gran cantidad de personas. De por sí, es únicamente un problema estético, pero por detrás puede estar ocultando un problema de salud importante. Hoy, te explicamos todo lo que debes saber al respecto.
Índice
¿Qué son y porqué aparecen las troneras dentales?
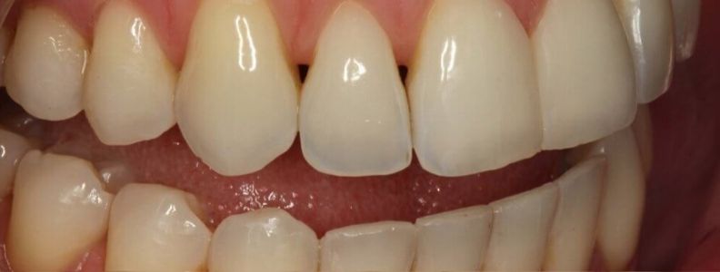
Las troneras son, básicamente, huecos entre los dientes de forma triangular, y aparecen por la sencilla razón de que los dientes tienen una forma que propicia este hueco.
Generalmente, los espacios entre los dientes están rellenos por la encía, de forma que entre los diente de las personas jóvenes y sanas vemos unos agradables triángulos rosas.
Sin embargo, en algunas persona, con la edad y sobre por los efectos de la enfermedad periodontal, la encía interdental se retrae y pueden aparecer unos triángulos negros entre los dientes. Es en estos casos cuando aparece el problema estético, ya que las troneras dan un aspecto de sonrisa envejecida o enferma.
Por supuesto, el problema estético suele ser mayor en los dientes superiores que en los inferiores, puesto que en éstos apenas se ve. En cambio, en los de arriba, especialmente al sonreír, resulta muy fácil percibirlos.
Otro aspecto que hay que tener en cuenta es que, muy a menudo, estos huecos están ocultos por el sarro, y eso hace que, tras una limpieza, se vean más. En realidad, la encía ya había desaparecido, y los huecos estaban rellenos de suciedad. Aunque estéticamente empeoremos al eliminar el sarro, la limpieza debe hacerse ya que el sarro empeorará el problema.
Por supuesto, en aquellas personas con encías retraídas por cualquier razón (como ser fumador), este problema puede agravarse, puesto que, como ya hemos dicho, estos huecos suelen estar ocultos por las encías y, si éstas se retraen, pueden quedar más a la vista.

Causas de los huecos entre los dientes
Más allá de lo anterior, podemos indicar los siguientes causantes de los huecos entre los dientes:
Dientes de forma triangular
Los dientes de forma triangular, por su fisiología, propician que aparezcan las troneras, ya que los espacios interdentales son mayores que en los dientes cuadrados. Además, en ocasiones, éstas aparecen tras el uso de ortodoncias, puesto que el apiñamiento puede hacer que no se perciban, pero al colocarse los dientes en su lugar adecuado, sí pueden hacer acto de presencia.
Diastemas
El diastema es la situación que consiste en una separación o ausencia de contacto entre 2 dientes vecinos. Lógicamente, si tienes diastemas, las troneras son prácticamente una consecuencia inevitable.
Edad
Las encías se retraen con el tiempo, de modo que las troneras son muy raras en pacientes jóvenes y mucho más frecuentes a medida que envejecemos.
Secuelas de periodontitis
La periodontitis es la causa más frecuente de la retracción de las encías y de la pérdida del hueso de soporte de los dientes. También de la encía y del hueso interdental. Cuando la periodontitis ya ha causado la aparición de troneras, no es posible recuperar la encía perdida. Debemos tratar la periodontitis para que el problema no vaya a más, empeorando la estética y llegando a causar la pérdida de los dientes. Te aconsejamos que leas más sobre este importante tema en el artículo: Qué es la periodontitis cómo combatirla
¿Cómo eliminar los huecos entre los dientes?
Una vez se ha perdido la encía interdental no existe ninguna forma de recuperarla. Para eliminar las troneras en los dientes existen, fundamentalmente, dos métodos que se basan en reducir los espacios, para disminuir los antiestéticos triángulos negros. Por un lado, están las carillas. Por el otro, está el stripping y la ortodoncia.
Carillas dentales
Por el lado de las carillas dentales, se pueden utilizar de porcelana o de composite. Básicamente las carillas ensanchan los dientes, cambiando su forma de triangular a más cuadrada, para reducir los triángulos negros. Sin embargo, no siempre es posible resolver el problema completamente por esta vía, puesto que el resultado podría ser muy antinatural (dientes demasiado cuadrados) o generar problemas posteriores de higiene.
Ortodoncia con stripping
Por el lado de la ortodoncia con stripping, tenemos que decir que es una técnica que te puede sorprender: Consiste en limar una parte superficial del esmalte entre los dientes. ¿Cómo? ¿Y eso no hará que el hueco sea mayor? En realidad no. Lo que conseguimos es también hacer más rectangular los dientes. El espacio que se crea con stripping se puede cerrar aproximando ambos dientes mediante ortodoncia, cerrando el hueco creado y, de paso, reduciendo la tronera.
Como puedes ver, las troneras en los dientes son muy antiestéticas y, además, pueden estar apuntando a un verdadero problema de salud: la enfermedad periodontal. Si empiezas a observar estos triángulos negros entre tus dientes, te aconsejamos que acudas a una valoración de tu salud periodontal. Esperamos que este artículo te haya resultado de interés y haya resuelto todas tus dudas al respecto.
