Antes de empezar cualquier tratamiento dental, el odontólogo debe contar con información precisa sobre el estado de los dientes y del hueso del paciente para planificar el tratamiento.
Esto no se consigue sólo a través de una revisión bucal sino que es necesario disponer de determinado tipo de radiografías.
Índice
¿Qué radiografías se realizan en una clínica dental?
De forma simple, las imágenes radiográficas con rayos x que se plasman en una película similar a una película fotográfica. Los rayos x son un tipo de radiación electromagnética, muy similar a la luz, pero con la particularidad de que son capaces de penetrar el cuerpo para obtener una imagen del interior.
En la actualidad la utilización de la película para reflejar la radiografía está quedando en desuso, dado que existen aparatos de radiografías digitales que tienen multiples ventajas frente a lo tradicional:
- necesitan menor dosis de radiación del paciente
- se obtienen de forma más rápida
- la calidad y el detalle de la imagen es superior
- facilitan el diagnóstico de patología
- no sufren el deterioro con el tiempo ya que se guardan en el ordenador
Para entender un poco más lo que puede mostrar una radiografía, vale explicar que las estructuras del cuerpo menos densas (que contienen más aire) aparecen de color negro. Los materiales metálicos, como obturaciones de plata o restauraciones de metal-porcelana o implantes dentales de titanio aparecen de color blanco. Los tejidos, ya sean blandos (encía, mucosa) o duros (huesos y dientes) aparecen en color gris, más claros (es decir, más cercanos al blanco) cuanto más densos sean. Con esta información el odontólogo está en capacidad de observar detalladamente la estructura de la boca para poder diagnosticar cualquier posible patología y poder planificar los tratamientos quirúrgicos y rehabilitadores.
Tipos de radiografías que se realizan en una clínica dental
Los tipos de radiografías más habituales actualmente en odontología son de cuatro tipos:
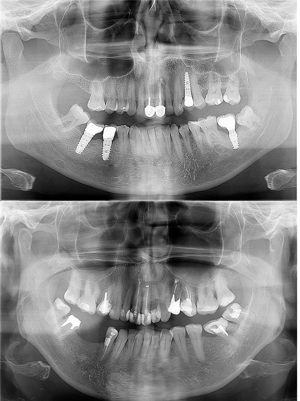
Radiografía panorámica u ortopantomografía
Es la más usual. Este tipo de radiografía da una imagen completa de toda la boca, por lo que es muy útil para tener una visión general. Es la que suele hacerse cuando el paciente viene a nuestra clínica dental en Valencia por primera vez, y también cuando viene anualmente a los sucesivos controles y mantenimientos. Se realiza con una máquina especial que rota alrededor de la cabeza. Se utiliza para planificar cualquier tipo de tratamiento: ortodoncia, implantes dentales, planear cirugías de extracciones de muelas del juicio, entre otros casos.
Radiografía periapical
Este tipo de radiografía se realiza con una placa más pequeña, que permite observar uno o varios dientes de forma completa, desde la corona hasta la raíz y con mayor detalle que la radiografía panorámica. Este tipo de radiografías son las más indicadas para el control de la enfermedad periodontal, para detectar infecciones periapicales (infecciones en el hueso) causadas por caries grandes, para realizar tratamientos de endodoncia, entre otros.
Radiografía interproximal
Este tipo de radiografía muy similar a la radiografía periapical, se hace con la misma placa pequeña pero en lugar de mostrar los dientes enteros muestra las coronas de los dientes superiores e inferiores al mismo tiempo. Su indicación fundamental es detectar la presencia de caries interproximales.
Escáner en tres dimensiones o tomografía computerizada de haz cónico (CBCT).
Es la técnica radiográfica más avanzada y la que proporciona la máxima información, ya que permite visualizar tanto los huesos maxilares como los dientes en 3 dimensiones. Esto permite detectar patología y realizar mediciones imposibles de conseguir con las técnicas anteriores. Por ejemplo, el escáner permite medir la anchura ósea, lo que es muy importantes para el tratamiento con implantes dentales, o ver en detalle la relación entre las muelas del juicio y el nervio dentario antes de una extracción, lo cual reduce los riesgos de tener complicaciones en la cirugía. Esta tecnología cada vez está más extendida, y las clínicas dentales más modernas de Valencia, como IDIM, disponen de esta tecnología para poder realizarlo con facilidad en cuanto el profesional lo considera necesario, sin que el paciente tenga que desplazarse a un centro de radiodiagnóstico externo.
Las radiografías en la odontología
En resumen, los diferentes tipos de radiografías son desde hace tiempo y cada vez más un mapa de navegación de los odontólogos para tomar decisiones importantes en el diagnósticos y en la planificación de tratamientos.
Se trata de imágenes sencillas de obtener con maquinaria especializada, que no producen dolor, incomodidad o efectos secundarios al paciente. Las dosis de radiación de la radiología dental son bajas y no causan enfermedades, además de que cada día las tecnologías avanzan y consiguen mayor detalle de las imágenes con menor radiación. Por eso, debes confiar en tu odontólogo, que será quien sabrá juzgar cuando necesitas hacerte una radiografía. No dudes en realizártelas cuantas veces sea necesario. La información que proporcionan es fundamental para que recibas el mejor tratamiento y tu salud saldrá beneficiada.
Fuentes científicas consultadas:
Essentials of Dental Radiography and Radiology. Eric Whaites. Nicholas Drage.
Direct digital radiography in the dental office. Wenzel A, Gröndahl HG
