Have you recently undergone a root canal treatment but feel that something is not quite right? A root canal is performed to save a tooth that has been severely damaged by decay or infection. While modern endodontic procedures are highly effective, studies estimate that root canal failure still occurs in about 2% to 16% of cases. In such situations, complications may arise.
A failed root canal can lead to persistent discomfort, recurring infections around the root, and even put the survival of the tooth at risk. If you continue to experience pain or sensitivity after your root canal, it is important not to ignore these warning signs.
At IDIM, like a Dental Implant Clinic in Valencia, our goal is to help you recognize the signs of endodontic failure and what steps you can take to fix it. In this article, you will learn the symptoms of a failed root canal treatment, the most common causes, and the treatment options available to restore your oral health.
¡Keep reading to discover more!
Índice
What is a root canal and how does the treatment work?
A root canal, also known as endodontic treatment, is a dental procedure designed to preserve the natural tooth and avoid extraction. It is typically recommended when the dental pulp, the soft tissue inside the tooth, becomes inflamed or damaged due to deep decay, trauma, or fractures.
The procedure involves several steps aimed at removing the infected or necrotic pulp tissue. First, the dentist gains access to the inner chamber of the tooth to clean and disinfect the root canals, eliminating bacteria and damaged tissue. Once thoroughly cleaned, the canals are filled with a biocompatible material to seal them and prevent future infections. Finally, a permanent restoration is placed to protect and restore the function of the treated tooth.
When root canal treatment is successful, the tooth remains healthy and functional for many years, without causing pain or reinfection. However, if the root canal fails, complications can arise that affect both patient comfort and the long-term health of the tooth and surrounding bone.

Symptoms of a failed root canal
A failed root canal or even a technically well-performed treatment that eventually fails, can show different symptoms. These warning signs may appear immediately after the procedure, or even weeks and months later. Recognizing them early is essential to prevent further complications.
Here are the most common symptoms of root canal failure:
Persistent pain
It is normal to experience mild discomfort after root canal treatment, especially when chewing, but this should gradually subside within a few days. However, continuous, worsening pain is one of the clearest indicators of a failed root canal.
This pain may be caused by residual infection or inflammation due to bacteria left in accessory canals, or by an untreated root canal. Symptoms may appear spontaneously or present as sharp pain when chewing, days, weeks, or even months after treatment.
Tooth Sensitivity
Once the nerve has been removed, the tooth should not react to hot or cold stimuli. Sensitivity to temperature changes may suggest that one or more canals were not properly treated.
In addition, discomfort when chewing may also indicate periapical inflammation or a poorly adjusted restoration that alters the bite. This type of sensitivity often worsens with hard foods.
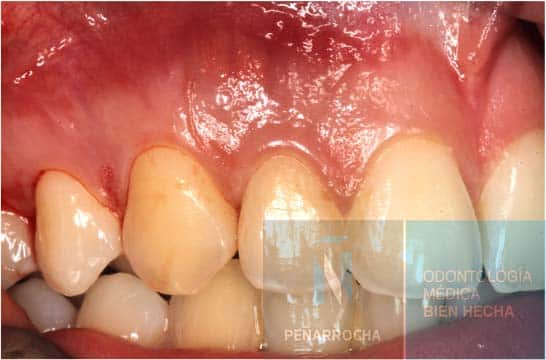
Swelling of the Gum or Affected Area
Inflammation around the treated tooth can appear as localized swelling in the gums and, in some cases, as visible swelling in the face. The extent of the infection and the location of the tooth determine how severe the swelling may become.
If left untreated, the infection may progress into an acute periapical abscess, with pus formation, increased pain, and even general malaise. In such cases, immediate consultation with an endodontist is essential.

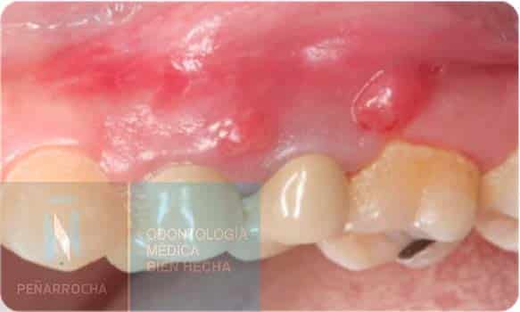
Fistulas or Pus Discharge
Fistulas appear as small whitish bumps near the affected tooth. They act as drainage points for pus caused by infection. Although they may not always be painful, fistulas are a sign of an active infection inside the tooth.
These lesions may come and go intermittently. Without proper treatment, the infection can spread to the surrounding bone or soft tissues. A clinical exam combined with X-rays or CBCT imaging is needed for a definitive diagnosis.

Tooth Discoloration
After root canal therapy, the treated tooth may darken, turning grayish or yellowish. This happens because, without its pulp and blood supply, the tooth becomes non-vital tissue. Pulp necrosis weakens the tooth structure and changes its appearance.
Discoloration is not only an aesthetic issue but may also indicate that the tooth requires additional treatment, such as retreatment or even apical surgery. In some cases, cosmetic restoration is also necessary to improve appearance.
Tooth Mobility
If the treated tooth becomes mobile, this may be a sign of root canal failure. It often suggests that the supporting bone has been compromised by infection spreading beyond the apex, or that a root fracture has occurred.If mobility is accompanied by pain, the treatment options may include apical surgery to try to save the tooth, or extraction followed by a dental implant. Radiographic evaluation is essential to determine the extent of the damage and the best solution.
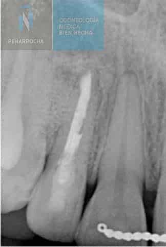
X-ray signs of a failed root canal treatment
One of the most reliable diagnostic tools for detecting root canal failure is dental radiography. With X-rays, the specialist can carefully examine the inside of the tooth and root canals to determine whether the treatment has been successful or if signs of failure are present.
Some of the most common radiographic signs of a failed root canal treatment include:
- Unfilled canals: an X-ray may reveal empty spaces along or at the end of the root canal that were not properly sealed. These gaps provide an entry point for bacteria, increasing the risk of infection and reinfection.
- Overfilling: when the filling material extends beyond the root apex, it can irritate the surrounding periapical tissues. On the radiograph, this appears as a white extension beyond the tip of the root.
- Dark areas around the root: dark or radiolucent zones in the bone surrounding the root are often a sign of infection or periapical lesions that compromise the bone structure.
- Periapical lesions: visible as darker or radiolucent areas around the tooth apex, periapical lesions indicate the presence of persistent inflammation or an active infection.
- Untreated canals: sometimes additional canals are missed during treatment. On an X-ray, they appear as radiolucent areas since they were not cleaned, shaped, or filled. Their presence can cause ongoing infection and treatment failure.
- Root fractures: although difficult to detect, root fractures may appear as fine, dark lines along the root. They can also cause irregular changes in the surrounding bone pattern, suggesting structural compromise.


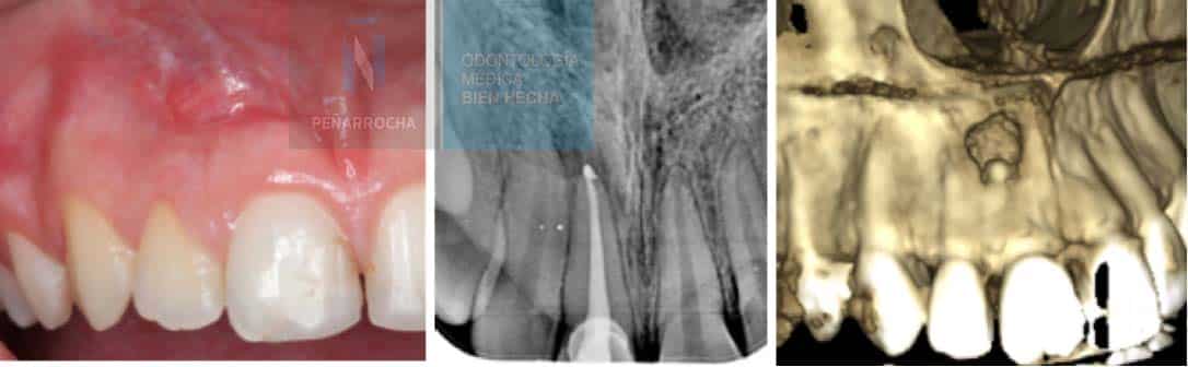
In some cases, X-rays may show a radiolucent lesion around the apex of a tooth, even when the root canal appears to have been performed correctly. This suggests that, despite proper technique, the treatment has ultimately failed. A follow-up radiograph after apical surgery can often confirm the healing of the affected area.
In any situation, it is essential that an endodontist or oral surgeon evaluates the radiograph to accurately determine the condition of the tooth and whether additional treatment is required.
Most common cause of root canal failure
Although root canal treatment is a routine and highly effective procedure to save infected or damaged teeth, several factors can compromise its success in the short or long term, leading to failure even when the procedure was initially well performed.
The main causes of root canal failure include:
Incomplete Canal Filling
One of the most frequent causes of endodontic failure is an incomplete seal of the root canal. Empty spaces may remain where bacteria persist, causing reinfection. Additionally, undetected accessory canals that are left untreated can also lead to recurrent infections.
Apical Leakage
If the seal at the tip of the root is inadequate, bacteria from the surrounding bone or gum tissue can enter the tooth. This can occur due to insufficient sealing or the use of inappropriate filling materials. Untreated inflammation in this area can lead to periapical lesions.
Root Fractures
Fractures in the root, occurring during or after treatment, can seriously compromise the success of a root canal, especially if the tooth is not adequately restored. These fractures are difficult to diagnose, and their prognosis is generally unfavorable.
Complex Canal Anatomy
Not all root canals are straight or simple. Some have unusual shapes or pronounced curvatures, making them difficult to clean and fill completely. Residual infected pulp or bacteria in these areas can prevent the treatment from succeeding.
Final Tooth Restoration
After root canal therapy, the tooth must be properly restored, often with a crown, to ensure long-term protection. Over time, the treated tooth may be subjected to more chewing pressure than surrounding teeth, increasing the risk of fracture. Regular dental check-ups are essential to monitor its condition and prevent complications.
What happens if root canal treatment fails
When a root canal fails and is not addressed promptly, it can lead to negative effects affecting both the treated tooth and overall oral health.
These are the main consequences of an endodontic failure:
- Persistent pain in the treated area: one of the most common signs if root canal treatment fails is pain that persists for weeks after treatment. This can range from mild discomfort to severe pain that interferes with chewing or daily activities.
- Abscesses or fistulas: unresolved infections in the tooth root can lead to dental abscesses (pus accumulation) or the formation of fistulas; small openings in the gum that allow pus to drain. These act as a pathway for the infection to escape but indicate that the infection is still active.
- Periapical lesions: between 2% and 14% of root canal treatments may fail, causing periapical inflammation in the tissues surrounding the tooth root. According to the Spanish Society of Oral Surgery, between 21.7% and 64.5% of patients may present chronic periapical periodontitis.
- Damage to the jawbone: severe periapical infections can affect the bone surrounding the tooth root, potentially leading to maxillary sinusitis, bone infections, or loss of tooth support. Such complications can make future restorative or implant treatments more difficult.
- Tooth loss: one of the most serious consequences of leaving a failed root canal untreated is progressive infection that destroys part of the bone supporting the tooth. This bone loss compromises dental stability and can result in the loss of the affected tooth.
- Aesthetic or functional problems: a tooth that is not properly restored after root canal treatment may fracture, change color, or develop other aesthetic issues. In addition to cosmetic concerns, the loss of proper masticatory function can impact the overall function of the mouth.
What to do if your root canal has failed in Valencia
When a root canal fails, acting quickly is crucial to prevent further complications, such as periapical infections or maxillary sinus issues. Early recognition of symptoms and immediate consultation with a specialist is essential.
At IDIM Dental Implant Clinic in Valencia, we provide treatment options to help restore your oral health. Although each case is unique and requires a detailed assessment, here are the main steps to follow if you suspect that the root canal has failed:
1. Professional Evaluation
The first step is to schedule an appointment with an experienced endodontist or oral surgeon to evaluate your situation. They can perform a clinical examination, X-rays, and CBCT scans to determine the cause of the failure and study your case in depth.
During the consultation, the specialist will assess your symptoms, review radiographic images, and determine whether the previous treatment was insufficient, if there is a persistent infection, or if another issue is present.
2. Endodontic Retreatment
In some cases, a root canal retreatment can be performed to correct issues from the initial procedure and try to save the tooth. This involves removing all previous filling material, thoroughly cleaning and disinfecting the canal, and performing a new root canal treatment.
Retreatment is more complex than the initial procedure because leftover material, blocked canals, or periapical lesions may be present. However, successful outcomes are possible, allowing the tooth to remain functional for many more years.
3. Apical Surgery
If retreatment is not possible or does not succeed, apical surgery may be the only alternative to extraction. This procedure involves removing the infection at the root tip and sealing the canal from the apex through curettage, apicoectomy, and retrograde filling.
Apical surgery is often the most effective solution when the lesion is localized, the tooth has a restoration that cannot be removed without damage, or the canal is blocked. While less common than other treatments, it is a minimally invasive alternative to extraction.

4. Tooth Extraction
In cases where the tooth cannot be saved through retreatment or apical surgery, extraction followed by a dental implant may be necessary. This prevents the problem from affecting the rest of the mouth.
A dental implant provides a safe and durable solution, restoring both the function and aesthetics of the lost tooth. Additionally, it helps preserve the bone and prevents adjacent teeth from shifting.
Frequently Asked Questions about Root Canal Failure
If you still have doubts about whether you are experiencing a failed root canal, here are answers to some of the most frequently asked questions from our patients:
Can root canal failure years later?
Yes, root canal failure is possible even years after treatment. While most cases occur within the first few years, it can also happen much later due to factors like reinfection, untreated canals, new decay, fractures, or a failing restoration.
How common is root canal failure?
Root canal failure is relatively uncommon, but it can happen. Studies show that root canals have a success rate of about 85–97%, meaning failure occurs in roughly 3–15% of cases.
How to prevent root canal failure?
You can help prevent root canal failure by practicing good oral hygiene, restoring the tooth with a crown if recommended, avoiding hard foods that may cause cracks, and visiting your dentist regularly. Early treatment of any new dental issues also helps reduce the risk of reinfection.
Is it normal to feel pain after a root canal?
It is normal to experience some discomfort after a root canal, usually mild to moderate, which typically subsides within a few days as the surrounding tissue heals. If the pain is more intense or persistent, contact your dentist immediately for evaluation.
What does pain from a failed or poorly done root canal feel like?
With a failed root canal, you may experience persistent pain that does not decrease over time. This pain can appear spontaneously or as sharp discomfort when biting. Swelling in the gums or the presence of a fistula are additional signs of an active infection.
How is a failed root canal diagnosed?
Diagnosing a failed root canal requires a detailed evaluation by a dental professional. The dentist will assess your symptoms and use X-rays and CBCT imaging to examine the tooth and surrounding tissues. This allows them to determine if there is an infection or if the canal filling is inadequate.
Is it normal to have a bad taste in my mouth after a root canal?
No, it is not typical. A bad taste may be caused by residual infection, bacterial leakage, or a defective filling. Every case is unique, so it is important for a specialist to evaluate your situation to identify the exact cause before drawing any conclusions.
When is a root canal dangerous?
Root canal treatment is a common and safe dental procedure. However, failure can occur due to complications such as incomplete infection removal, tooth fractures, or procedural errors like perforations. That is why it is essential to have the procedure performed by an experienced dentist and to ensure proper follow-up care.

Scientific sources consulted:

Book an appointment to fix your Failed Root Canal in Valencia
At the IDIM Institute of Implantology, led by Drs. Peñarrocha, we not only care for your smile but also provide effective solutions for cases of failed root canal treatment, thanks to our extensive experience and dedication.
With over 30 years of expertise in implantology and complex dental treatments, our specialized team uses the latest technology to offer personalized and effective solutions tailored to each patient.If you have noticed any of the symptoms mentioned above, suspect that your root canal may have failed, or simply want a second opinion on a previous diagnosis, we encourage you to schedule a consultation at our clinic by filling out the form below.
